- 地址:
- 贵州省贵阳市国家高新技术产业开发区长岭南路178号茅台国际商务中心一期第AB幢(B)1单元9层19号房
- 邮箱:
- yg8174@qq.com
- QQ:
- 259633603
- 传真:
- 0851-84851236
- 手机:
- 18606505966
纤维素酶是一类能催化水解纤维素生成葡萄糖的复合酶,属于糖苷水解酶(GH)类,在食品、生物燃料以及生物医药等领域发挥着重要作用,它能催化水解纤维素生成葡萄糖、纤维二糖和纤维素低聚糖,属于GH家族。GH5家族作为最大的GH家族之一,属于GH-A家族,其催化结构域(CD)因具有典型的(
β/α) 8 -TIM桶状折叠结构也被认为属于4/7超家族,具有双置换保留型催化机制,该机制涉及两种催化残基,通常是谷氨酸或天冬氨酸残基,一种作为催化酸、碱,另一种作为亲核试剂。基于CBMs的功能特点,将不同来源的CBMs与纤维素酶的CD融合重组以开发嵌合酶是改善酶的水解效率的一种有效手段。
生物膜清除技术在食品酶学中的应用是一个重要的研究领域,因为生物膜的形成可能导致食品污染和食品安全问题。传统的化学消毒方法相比,酶制剂通常更环保,且不易导致微生物产生抗性,是一种绿色安全的生物膜清除方法,能够提高食品加工的效率和经济效益。
纤维素酶的多种应用需要寻找新的酶来源,相比陆地来源,海洋来源的酶表现出不同的生物催化特性,如超热稳定性、高耐盐性、耐压性和寒冷适应性等。
福州大学生物科学与工程学院的翁晓敏、胡诗琦和严芬*等人使用大肠杆菌异源表达来自海洋菌

-螺旋占32.40%,延伸链占17.88%,-转角占6.70%,无规卷曲占43.02%,无规卷曲所M6平台官网占比重较大,-螺旋和延伸链比例适中,-转角占比最少。
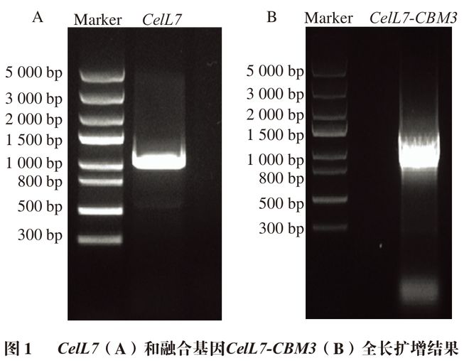
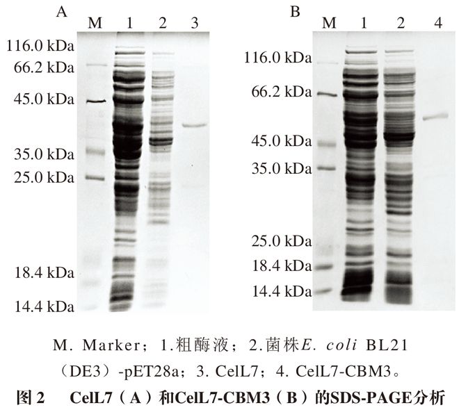
CelL7(图1A)与CelL7-CBM3(图1B)条带大小符合预期且单一。经SDS-PAGE分析,CelL7蛋白条带位置显示与预测的理化蛋白分子质量40.39 kDa结果一致,融合蛋白CelL7-CBM3的大小为50 kDa左右(图2)。


通过DNS法测定酶活性,重组纤维素酶CelL7和CelL7-CBM3的比酶活力分别为2 249.81 U/mg和2 915.75 U/mg,融合了CBM3结合结构域后比活力提高了0.3 倍。研究表明,CBM结构域主要发挥3 种作用:将酶靶向底物、增加酶与底物的接近性、结晶型底物有一定的破坏作用。CBM结构域的核心作用在于识别并特异性地与不溶性纤维素进行结合,这种结合将纤维素酶的CD引导至纤维素底物,从而增强了纤维素酶对底物的亲核性以及水解活性。CBM结构域能够与纤维素葡萄糖单元表面对齐,该结合可能是由氨基酸侧链和与多糖表面的骨架位点之间的氢键驱动,能够使得纤维素酶能够更加紧密地与底物结合,提升了底物上的有效酶浓度,促进酶-底物的相互作用,从而显著提高催化效率。Li Xiangqian等将内切葡聚糖酶基因
Endo5、外切葡聚糖酶基因Exo5和不同的CBMs融合生成多种双功能纤维素酶基因,融合酶Endo5-2CBM-Exo5对微晶纤维素的比活力比亲本CBM3b-Exo5和Endo5-CBM28提高了2.2~14.0 倍,在85 ℃孵育2 h后融合酶的相对活性保持在45%~68%,表现出较好的热稳定性。
如图3所示,以CMC-Na为底物反应,CelL7与CelL7-CBM3在50 ℃时表现出最高酶活力。在40~55 ℃孵育1 h后,CelL7可保持在80%以上的相对酶活力;随着温度上升,CelL7的热稳定性逐渐下降;在60 ℃孵育1 h后,CelL7的相对酶活力降至20%以下。由此可见当温度在40~55 ℃范围内时,CelL7能维持较高的活力,具有较好的热稳定性,表明CelL7是一种中温纤维素酶。将CelL7-CBM3于40~55 ℃孵育45 min后,仍保持80%的初始酶活力。与CelL7相比,在C末端添加结合结构域后的融合酶CelL7-CBM3在不同温度下的热稳定性差异不大。有研究表明纤维素酶的最适反应温度范围为40~55 ℃,如来源于
如图4A所示,CelL7在pH 5.0时酶活力最高,其中在pH 3.5~7.5范围内相对酶活力均维持在80%以上,表明CelL7是一种嗜酸性酶。融合酶CelL7-CBM3与CelL7的最适反应pH值相近,在pH 5.5时达到最高酶活力,在pH 3.0~7.0范围内相对酶活力维持在80%以上,而在pH 8.0~11.0的碱性条件下反应酶活力均下降至60%以下,表明该酶适合在酸性环境下反应。这与来自糖苷GH5的重组纤维素酶CMC-1水解羧甲基纤维素的结果相似,其在pH 5.0和50 ℃时具有最大活性。研究表明海洋纤维素酶最适反应pH值在4.5~8.0范围内,在弱酸性范围内具有最大活性。如来源海洋芽孢杆菌属细菌分泌的耐盐纤维素酶Bc22Cel的最佳pH值和温度分别为6.5和60 ℃。
如图4B所示,在pH 3.0~11.0的条件下孵育2 h后,CelL7能保持60%以上的相对酶活力,表明CelL7具有广泛pH值稳定性;其中在pH 4.0~6.5的范围内孵育2 h后相对酶活力保持在80%以上。在pH 4.0~8.0的条件下孵育2 h后,融合酶CelL7-CBM3的相对酶活力保持在80%以上,相比CelL7,添加结合结构域提高了酶在碱性环境下的pH值稳定性。Cattaneo等通过将热纤梭菌的内切纤维素酶CtLic26A-Cel5E的CBM添加到耐热内切葡聚糖酶的C末端设计出嵌合蛋白Dtur CelA。融合蛋白在结晶纤维素上比天然酶表现出更高的活性,CBM的添加增加了纤维素酶在极端pH值条件下的稳定性。
如图5所示,1.0、5.0 mmol/L和10.0 mmol/L的Mn2+以及10.0 mmol/L的Fe2+对CelL7活力有明显的激活作用,相对酶活力可提高30%左右;同时1.0 mmol/L的Fe2+、Li+对CelL7的催化过程有微弱的促进作用,而Mg2+、Ba2+、Co2+、Ni2+、Ca2+、Cu2+、Zn2+、Fe3+对CelL7活力表现出不同程度的抑制作用,表面活性剂SDS和EDTA对CelL7的活力也呈现类似的规律,并且随着离子浓度的增加抑制程度逐渐增大,其中Cu2+的存在对CelL7的活力抑制作用最为明显,在Cu2+浓度为5.0 mmol/L和10.0 mmol/L时完全抑制CelL7活力。结果表明CelL7不属于金属蛋白,加入微量Mn2+、Fe2+和Li+可以提高其活力。类似的结果也出现在曲霉ZJUBE-1菌株纯化的纤维素酶,其在Fe2+和Mn2+的存在下活力显著增强,而Cu2+、Zn2+、Fe3+、Ba2+、Ag2+、Hg2+和EDTA则限制了纤维素酶活力;有所不同的是,来源于

选取CMC-Na、纤维二糖、Avicel、木聚糖、昆布多糖、葡聚糖、壳聚糖和麦芽糖作为反应底物,研究CelL7的底物特异性。如图6所示,CelL7对CMC-Na、纤维二糖和木聚糖均表现出一定的水解能力,而对结晶性纤维素Avicel、昆布多糖、葡聚糖、壳聚糖和麦芽糖无明显降解作用,表明CelL7主要水解
-1,4-糖苷键,不能作用于-1,3-1,4-糖苷键、-1,3或-1,6糖苷键,对于微晶纤维素Avicel作用弱也表明其不能作用于-糖苷键。由此可见重组纤维素酶CelL7具有内切葡聚糖酶和-葡聚糖酶活性,而无外切葡聚糖酶活性。来自GH5家族的重组纤维素酶KG51同样表现出对-1,4-糖苷键的活性,对CMC、-甘露聚糖和山毛榉木聚糖的酶活性高于-1,3-1,4-糖苷键、-1,3或-1,6糖苷键的底物的酶活性。然而同属同一家族的酶也具有不同的底物特异性,从Thermobifida albaAHK119中克隆表达的内切葡聚糖酶AHK119-E5对不溶性纤维素底物的活性高于对可溶性纤维素底物的活性,这与其CD和CBM的氨基酸序列有一定联系。


表2为以CMC-Na为底物时CelL7和CelL7-CBM3的比活力及动力学参数。相同的酶活力单位定义下,CelL7-CBM3对CMC-Na的比活力为2 915.76 U/mg,相比原酶的2 249.81 U/mg有所提高。综合上述的分析结果,可知添加结合结构域能提高重组融合酶对底物的催化作用。

如图8所示,将抗药金黄色葡萄球菌培养48 h后,通过结晶紫染色法测定添加重组纤维素酶CelL7和CelL7-CBM3后残留的未分散生物膜量,与对照组相比,质量浓度为5.0~60.0 μg/mL的CelL7和10.0~60.0 μg/mL的CelL7-CBM3对S.
aureus生物膜具有显著的分散作用(P<0.001),两种重组纤维素酶对于生物膜的分散效果均随着质量浓度的增加而增加,但相同质量浓度下重组酶CelL7较融合酶CelL7-CBM3的分散效果更好。
P. aeruginosa培养48 h后,通过结晶紫染色测定添加重组纤维素酶CelL7和CelL7-CBM3后残留的未分散生物膜量,与对照组相比,质量浓度为10.0~60.0 μg/mL的重组酶CelL7和30.0~60.0 μg/mL的CelL7-CBM3对P. aeruginosa生物膜具有显著的分散作用(P<0.001),同时5.0 μg/mL的CelL7较对照组具有一定的分散作用(P<0.01),而5.0 μg/mL和10.0 μg/mL的CelL7-CBM3不能有效分散P. aeruginosa生物膜。相同质量浓度下重组酶CelL7较融合酶CelL7-CBM3对P. aeruginosa分散效果更好。因此,重组酶CelL7和CelL7-CBM3可以有效分散铜绿假单胞菌生物膜。有研究表明生长在生物膜中的微生物细胞对抗生素和宿主免疫反应的耐受性是浮游细胞的1 000 倍。纤维素酶对细菌生物膜的降解可能是由于多糖的水解和生物膜结构的破坏,从而增加了浮游细胞的扩散。Kamali等研究发现1.25、2.5、5.0 U/mL和10.0 U/mL的纤维素酶与头孢他啶联用可以导致铜绿假单胞菌生物膜显著减少。
纤维素酶是一类能催化水解纤维素生成葡萄糖的复合酶,属于GH类,在食品、造纸制浆、生物燃料以及生物医药等领域发挥着重要作用。本研究从海洋细菌
酶学性质研究结果表明,CelL7与CelL7-CBM3的最适反应温度基本一致,均为50 ℃。温度在40~55 ℃范围内时,CelL7能维持较高的酶活力,具有较好的热稳定性,表明CelL7是一种中温纤维素酶。CelL7与CelL7-CBM3的最适pH值分别为5.0和5.5,CelL7在pH值为4.0~6.5的范围内相对酶活力均维持在80%以上,而CelL7-CBM3在pH值为4.0~8.0的范围内相对酶活力能够维持在80%以上,具有较好的pH值稳定性。Mn2+和Fe2+能激活CelL7活力,5.0 mmol/L和10.0 mmol/L的Cu2+对CelL7活力有明显的抑制作用。底物特异性结果显示,CelL7可降解CMC-Na、纤维二糖和木聚糖,表明CelL7主要作用于
生物膜清除实验表明,5.0~60.0 μg/mL的CelL7和CelL7-CBM3能够有效分散生物膜,减少生物膜量。因此,重组酶CelL7和CelL7-CBM3可以有效分散铜绿假单胞菌生物膜,具有作为酶制剂清除生物膜应用于食品安全加工的潜力。


